Ischaemic Changes of Different Anatomical Regions or Vascular Territories
Cerebral infarction involving the middle cerebral artery territory: Chronic middle cerebral artery territory infarct
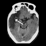
Compared to the previous CT scan, the films shown here is from a patient with a chronic right middle cerebral artery territory infarct
(Figures 1 and 2). There is a sharply delineated wedge-shaped hypodense area (approaching the density of cerebral-spinal fluid) involving the grey and white matter supplied by the right middle cerebral artery.


